所在地
日本
〒
東京
オンライン
開始日/終了日
-
フォーマット
Webセミナー
開催場所
オンライン
参加登録料
友の会会員の方
・・・7,700円
友の会会員以外の方
(友の会に入会しての受講がお得です)
<同時入会の場合>
勤務歯科医師・歯科技工士・歯科衛生士の方
・・・11,000円
*GC友の会会費を含みます。
<友の会に入会しないで参加の場合>
・・・18,700円
概要説明
説明
配信期間 2022年7月14日(木)~7月21日(木)
申込期限 コンビニ支払い・銀行振込の場合:7月3日(日)、クレジット払いの場合7月11日(月)>
インプラントメインテナンスはじめの一歩
申込期限 コンビニ支払い・銀行振込の場合:7月3日(日)、クレジット払いの場合7月11日(月)>
インプラントメインテナンスはじめの一歩
備考
見逃し配信期間(オンデマンド) 2022年7月14日(木)~21日(木) 期間中は何度でもご覧いただけます。 申込期限 コンビニ払い・銀行振込の場合:7月3日(日) クレジット払いの場合:7月11日(月)
セミナー内容
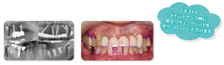
配信期間:2022年7月14日(木)~7月21日(木)> ※期間中は何度でもご覧いただけます。 ※配信期間終了後に見逃し配信を予定しております。 見逃し配信期間については本配信後にご案内いたします。 講演ポイント ●インプラントメインテンナスに必要な基礎知識 ●インプラントメインテナンスの実際を動画で説明 ●明日からの臨床に活かせるチェックシート配布 チャプター(講演時間:約100分) 1)歯科衛生士に知ってほしいインプラントの基礎知識 2)歯科衛生士が知りたいインプラントメインテナンスのポイント 3)CASE 4)浅賀歯科医院での実際の取り組み
お申込・お問い合わせ先
DIC(デンタルインフォメーションセンター) TEL 03-3815-1511 FAX 03-3815-3421
フリースペース 1

浅賀 勝寛 先生
「普段はなんとなくインプラント治療後のケアをしている」「インプラント患者が来院した時どう対応していいのかがわからない…」 このようなお悩みありませんか?インプラントは今や日本で300万人以上の人が受けられている治療です。 今後もさらに患者数は増えていくでしょう。インプラント患者のメインテナンスに自信を持って臨めるように、 インプラントに関する基礎知識から実際のメインテナンスのチェック項目まで全てお話しします。 ご略歴 ◆2013年 日本大学歯学部卒業 ◆2014年 医療法人 寛友会 浅賀歯科医院に勤務・院長を務める
講演者・講師
浅賀 勝寛 先生
対象者
歯科衛生士